
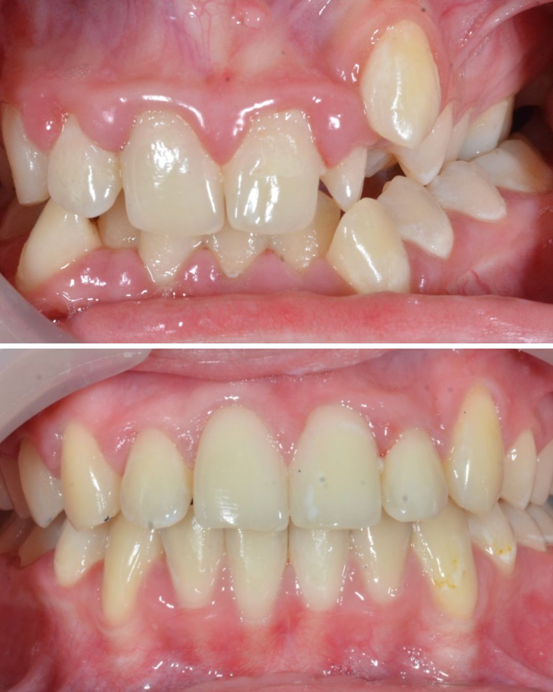
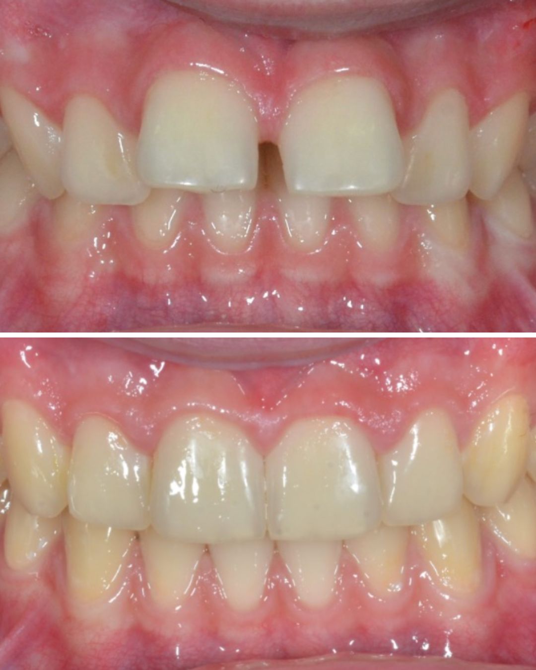
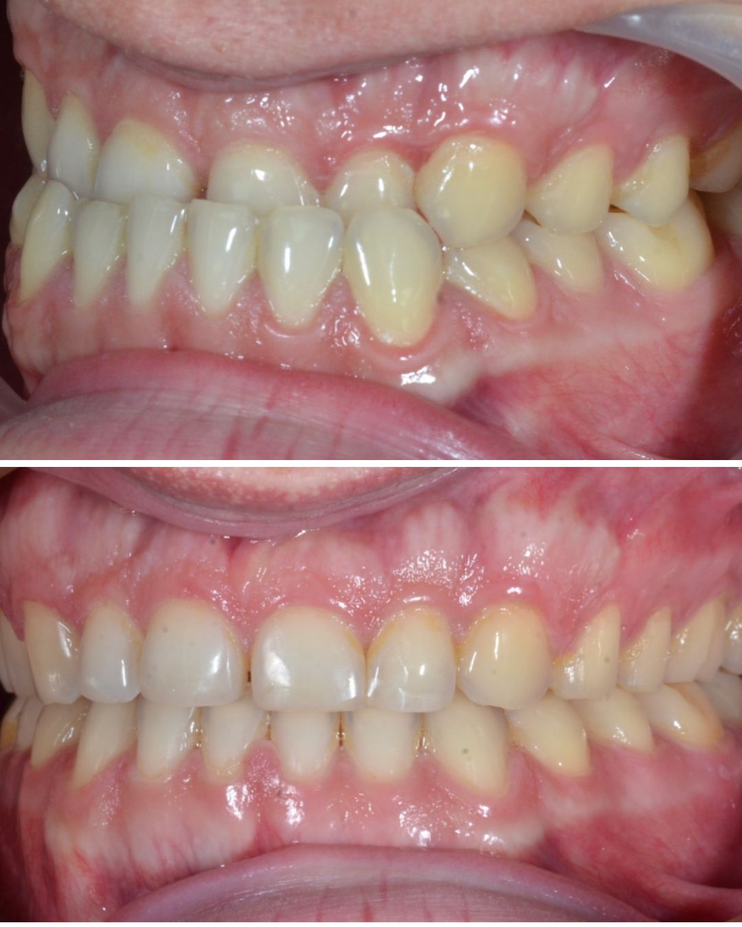
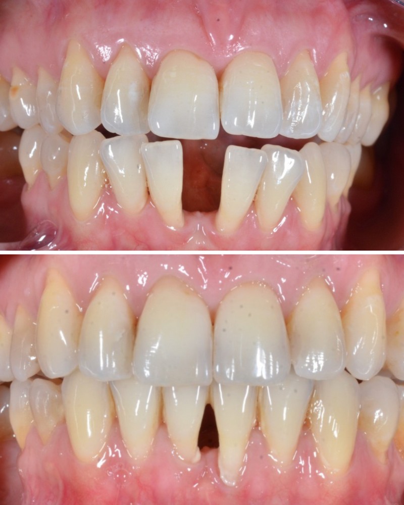
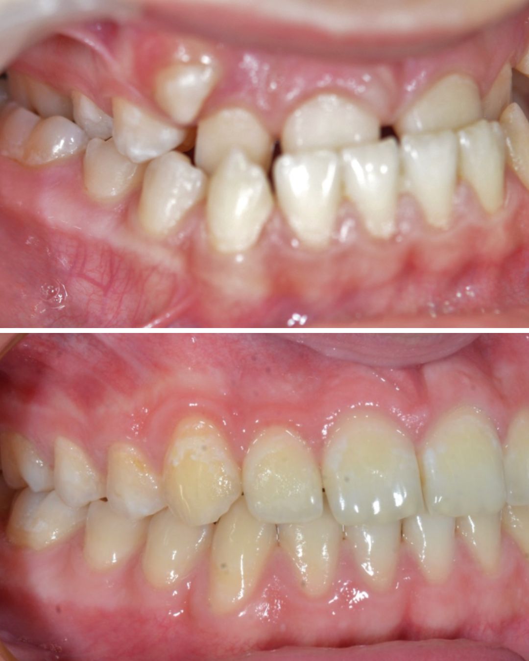
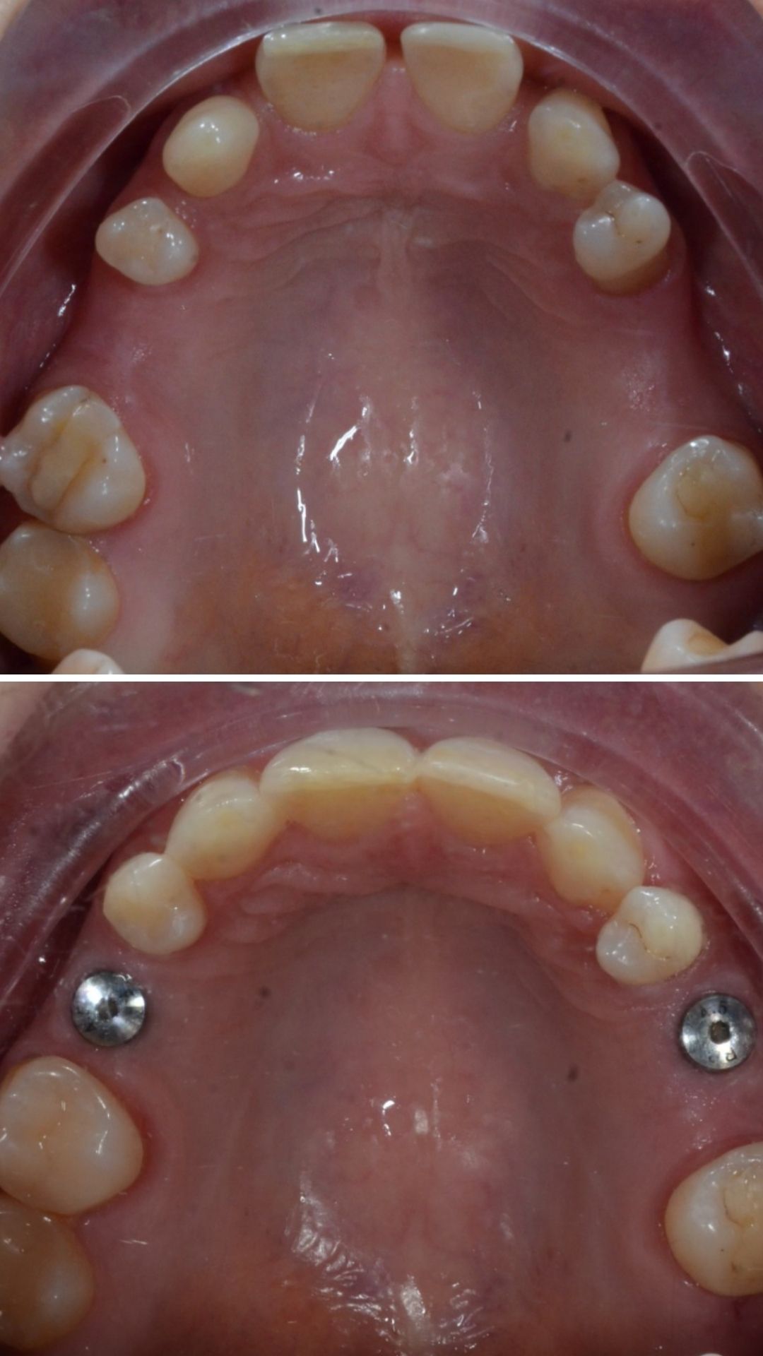
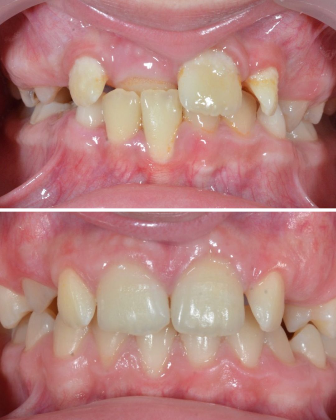
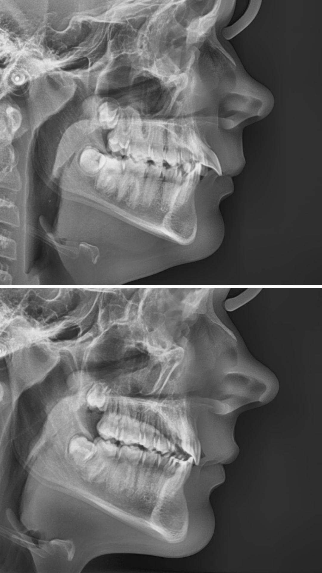
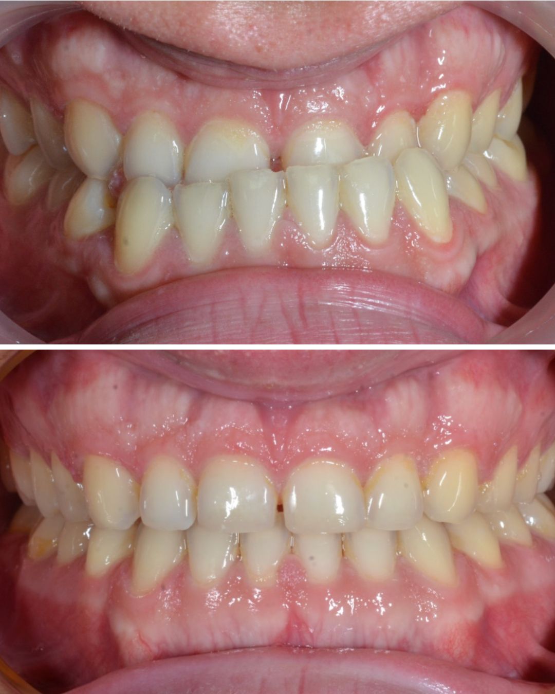
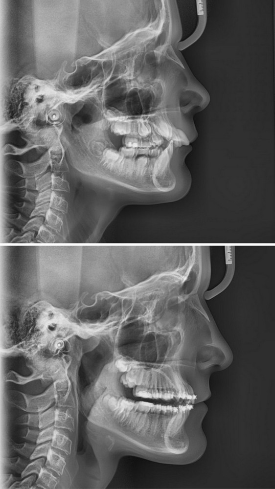
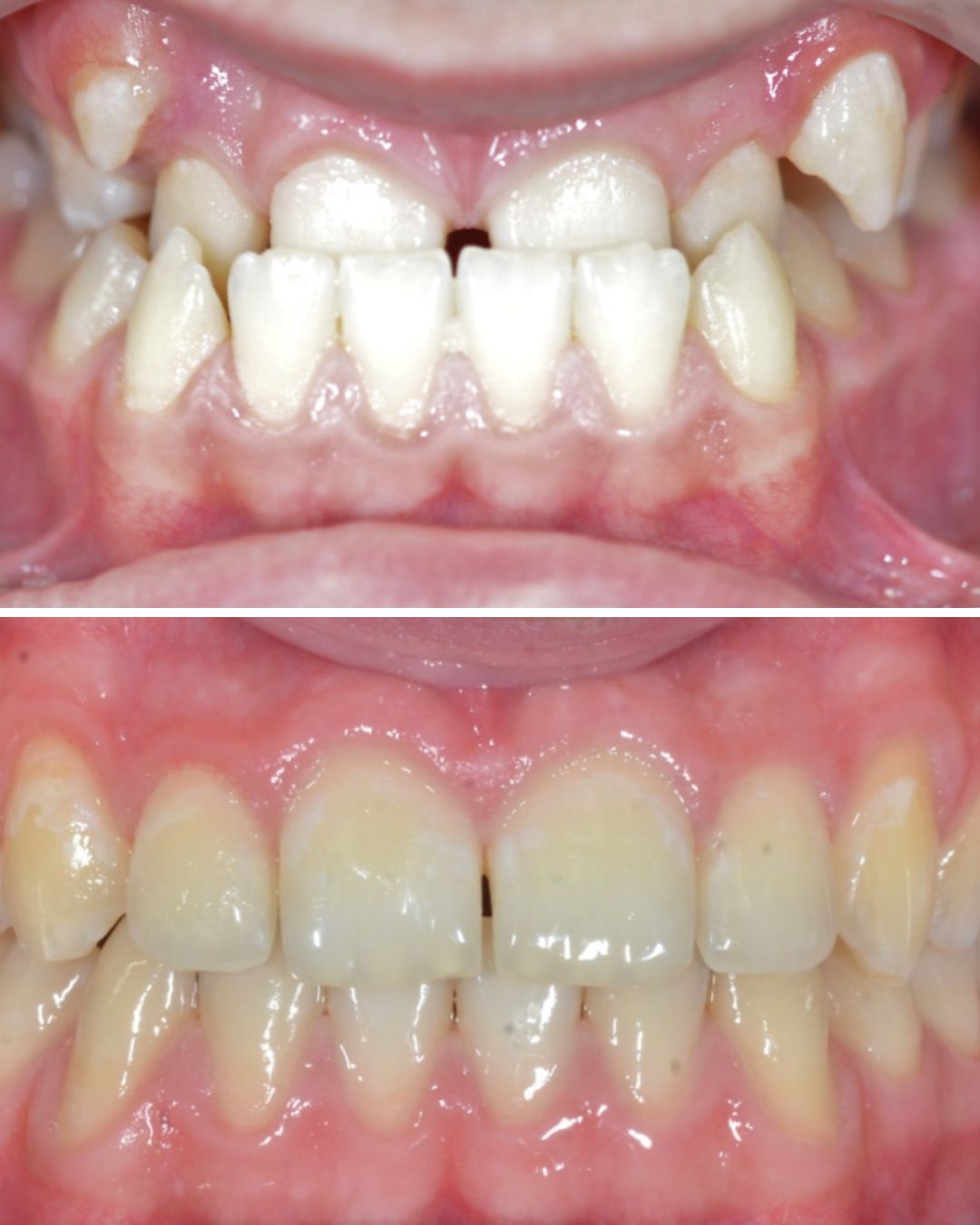
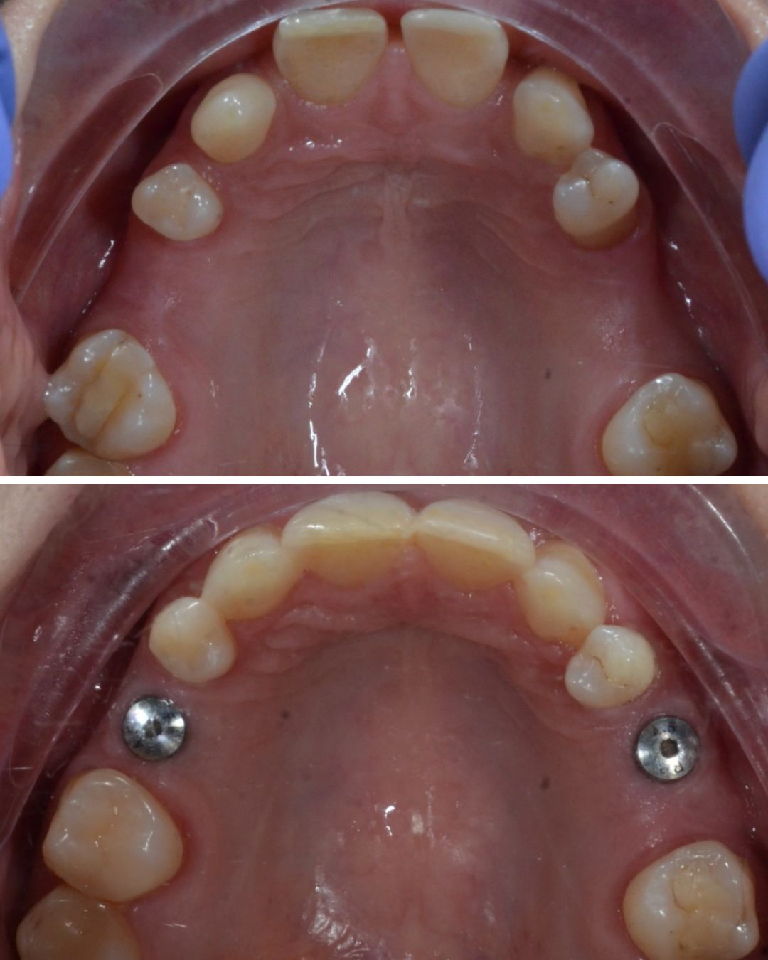
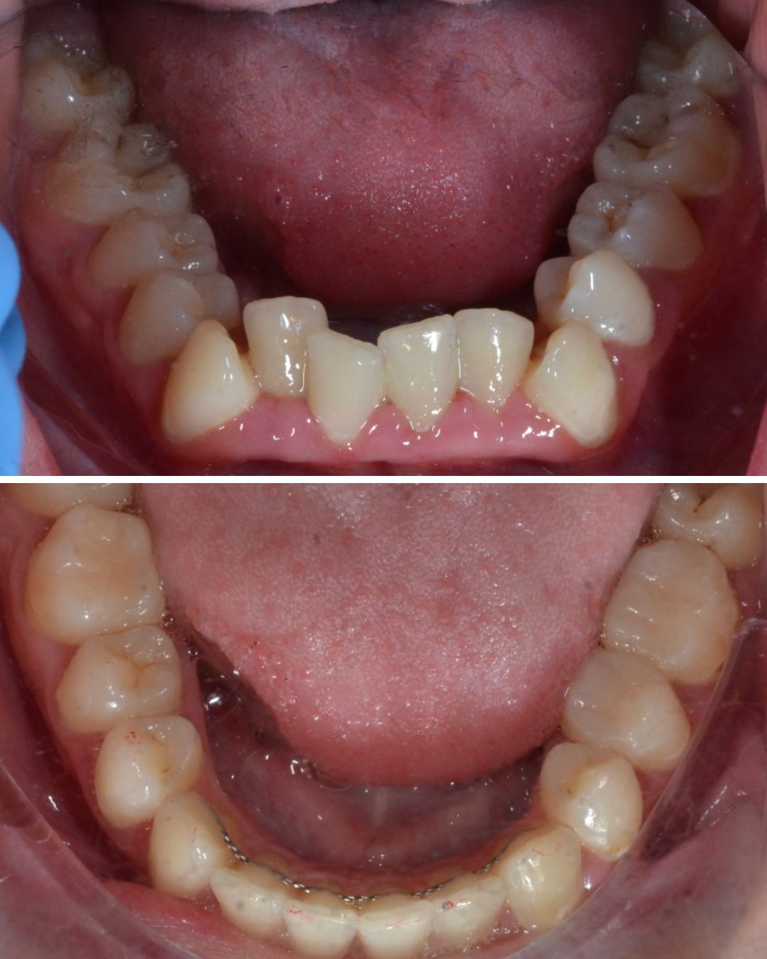
Metamorfozy Pacjentów
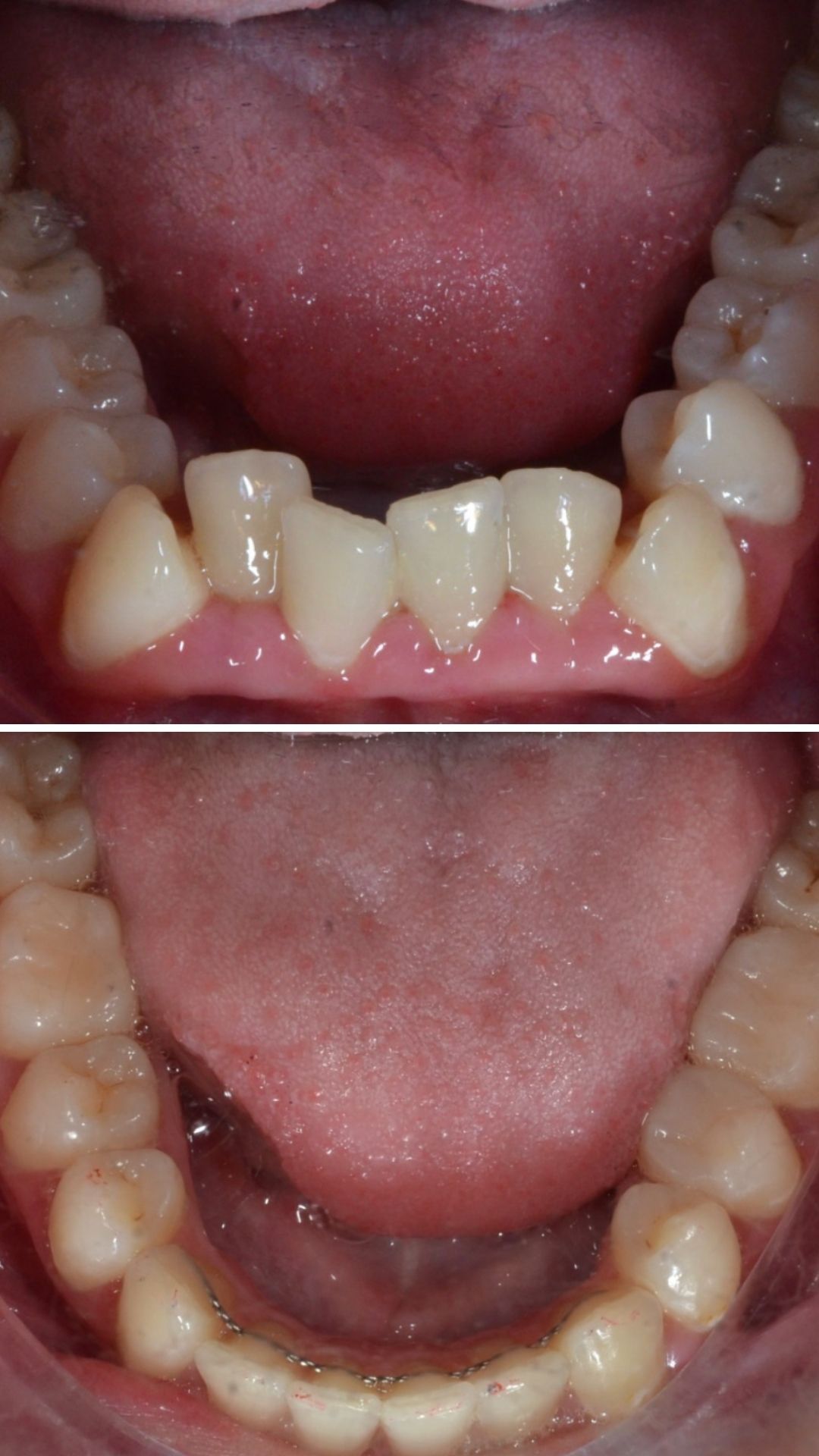
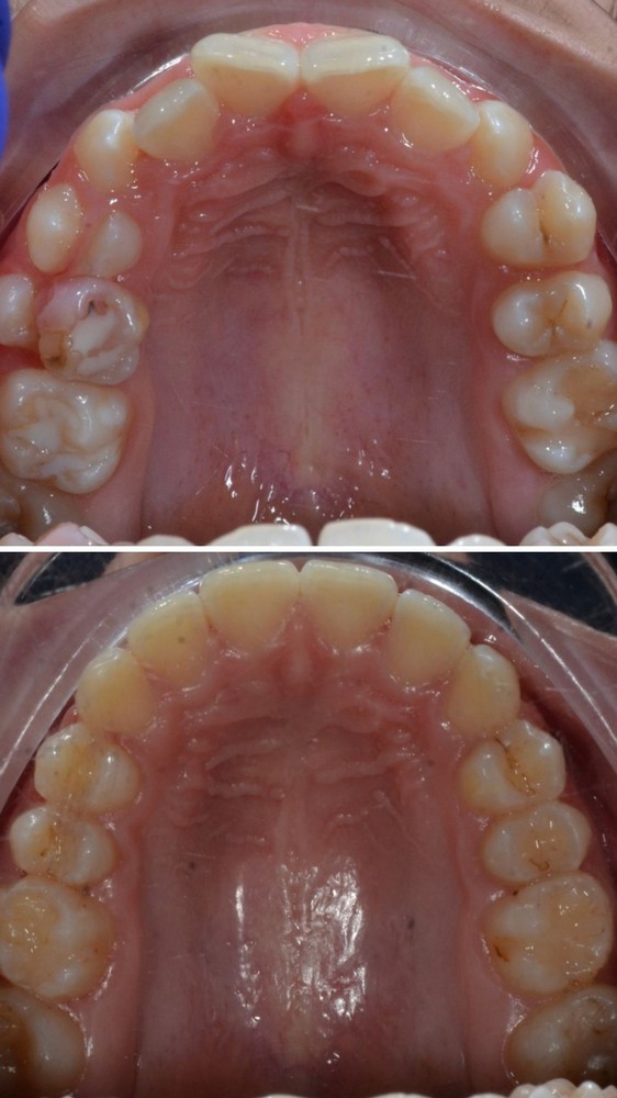
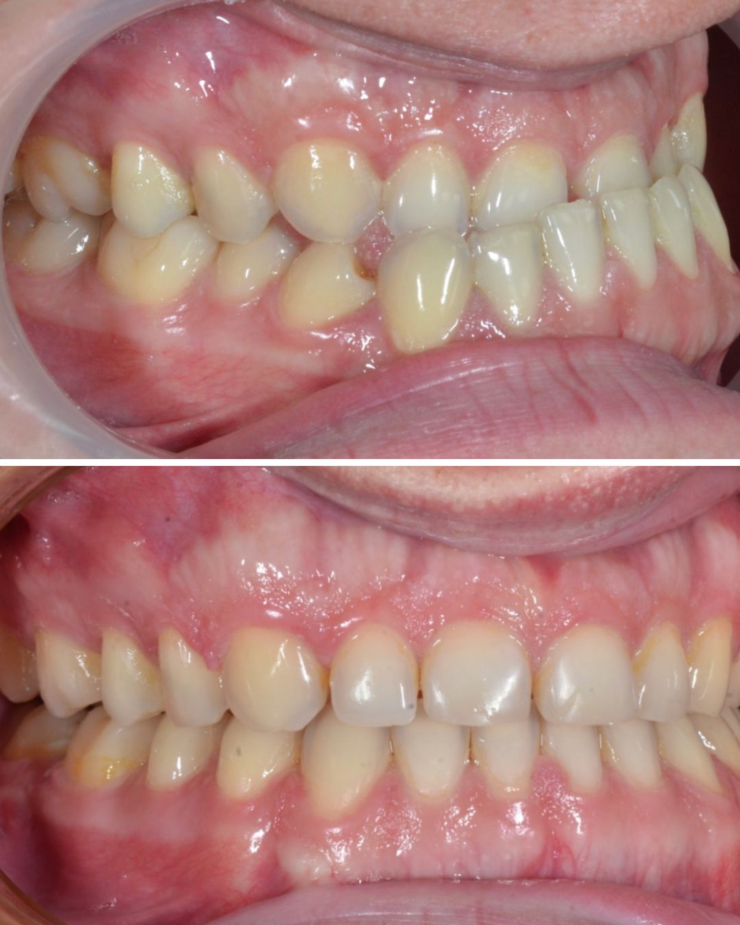
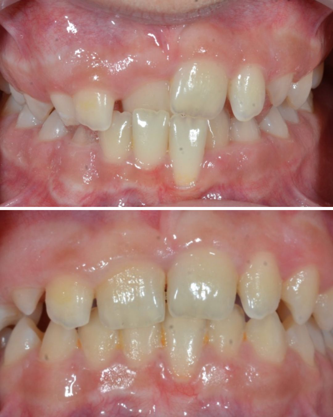
Zobacz ortodontyczne metamorfozy moich Pacjentów
Efekty są lustrem wysiłku – pokazują, ile serca włożyłeś w drogę.

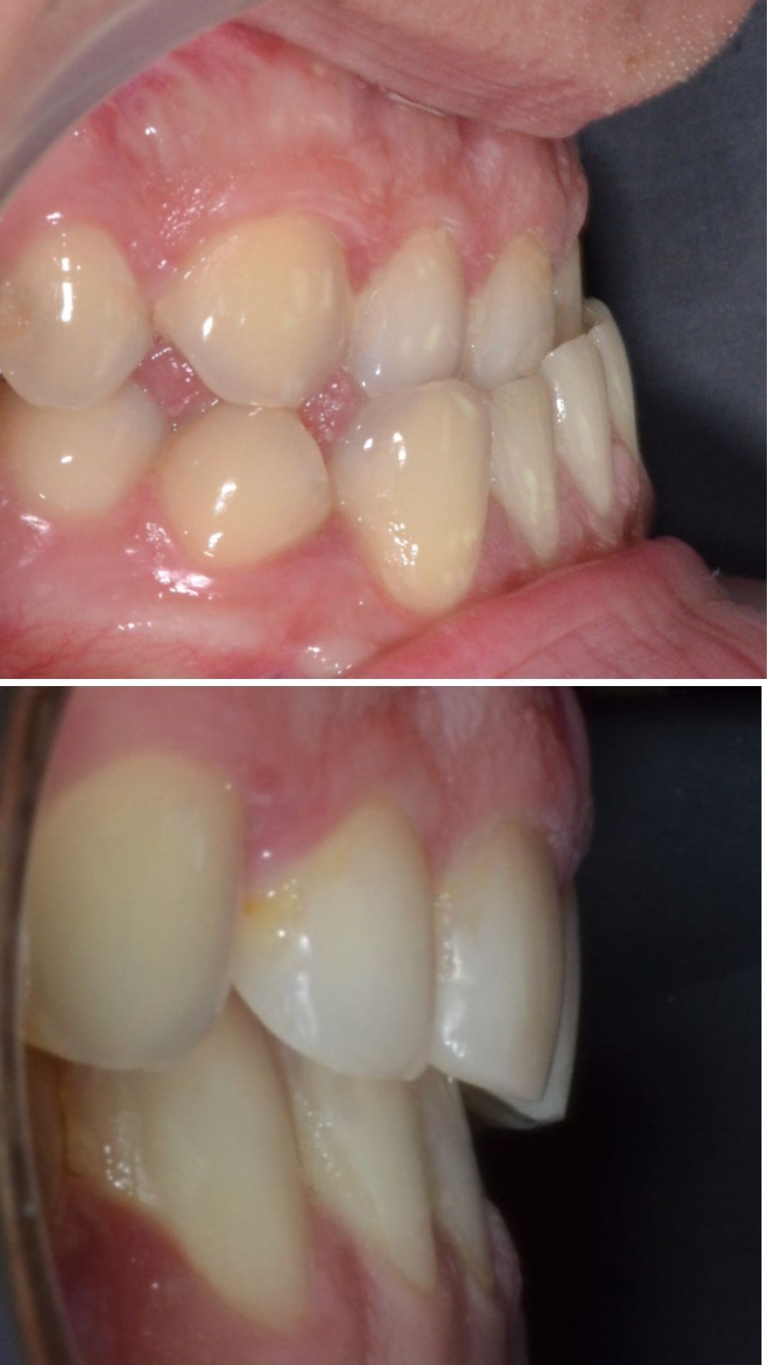
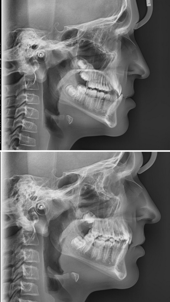
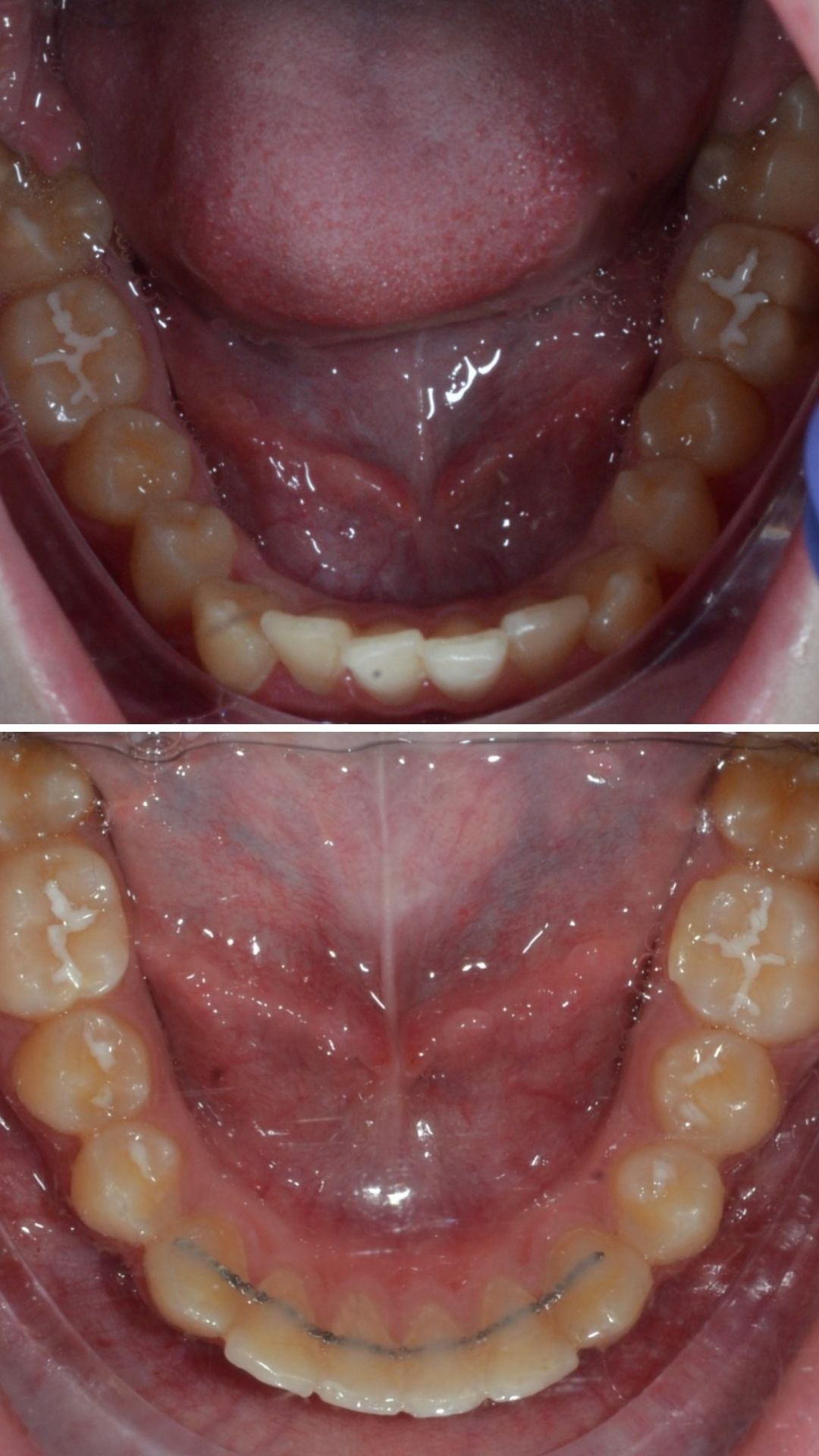
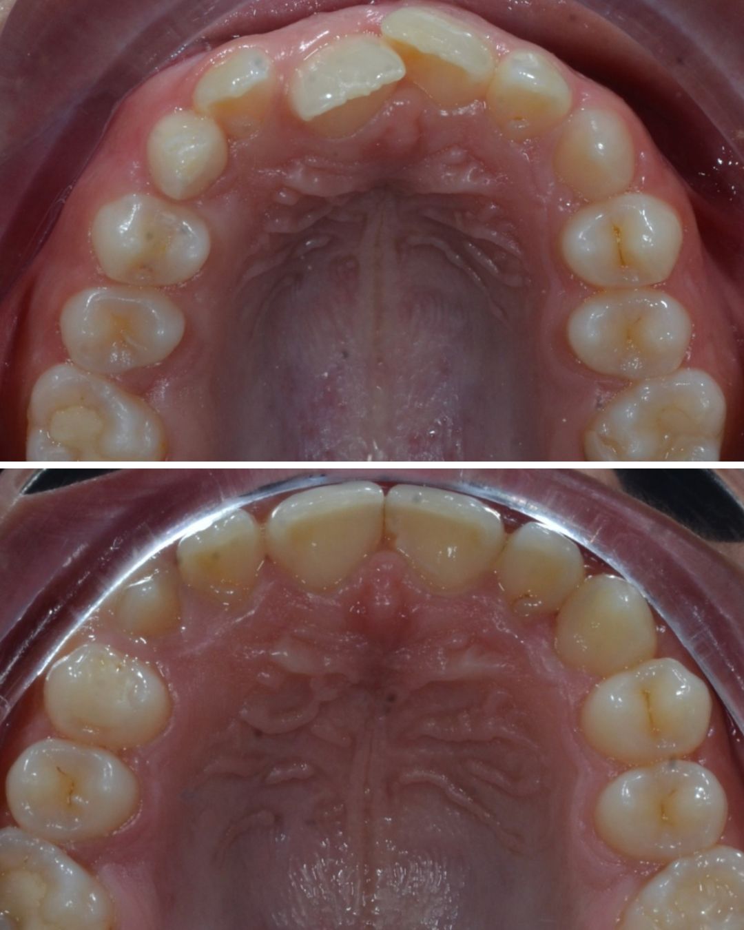
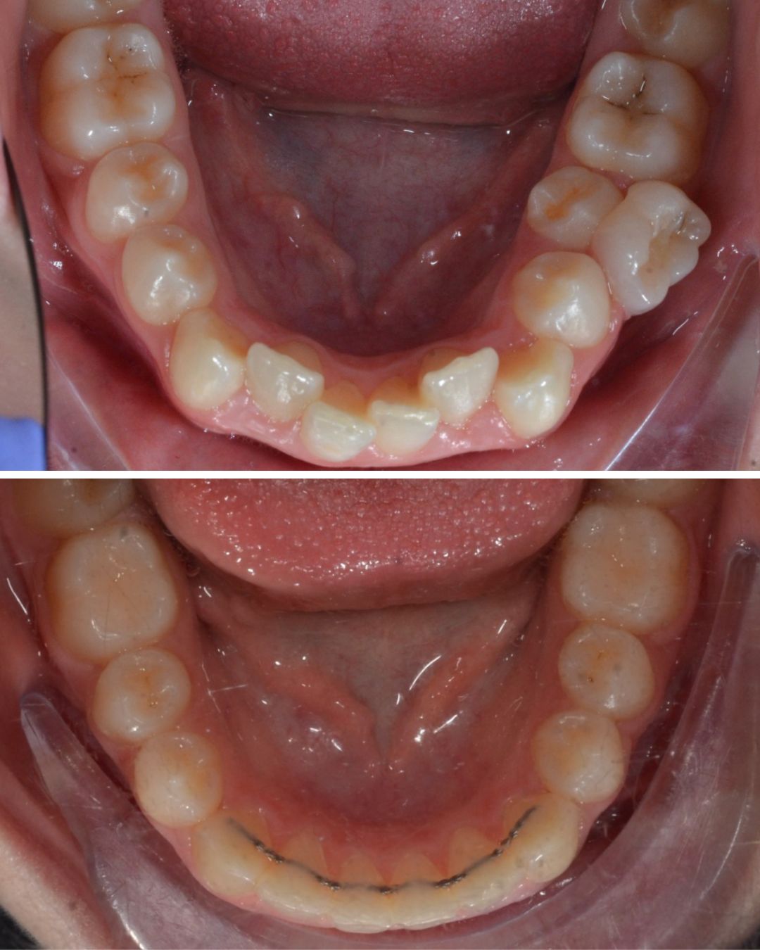
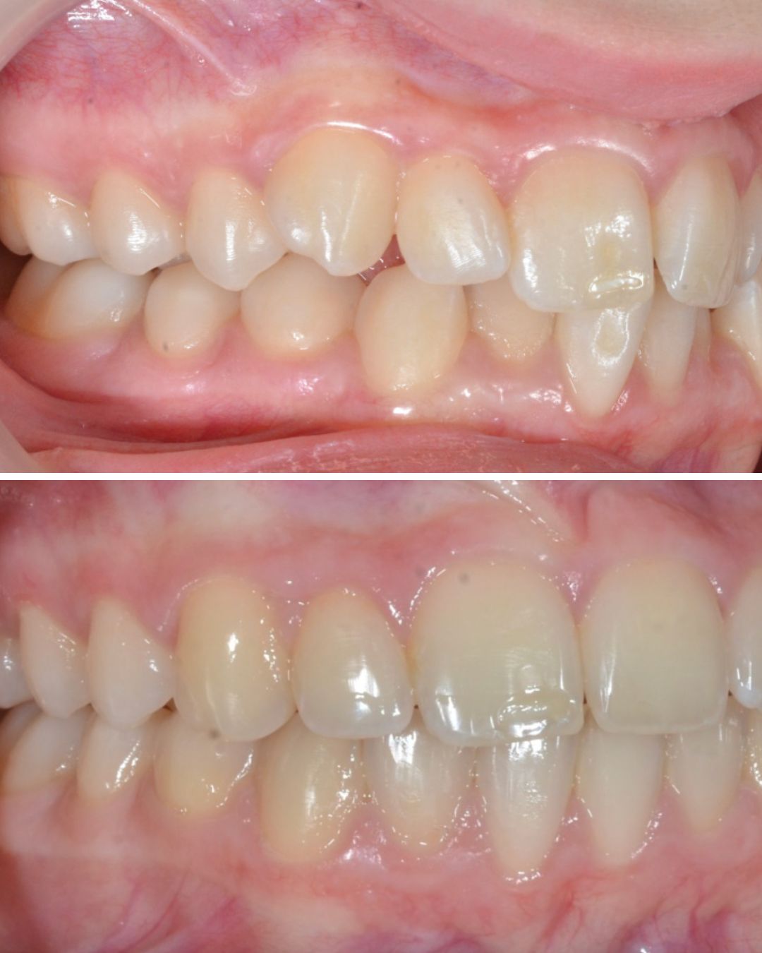
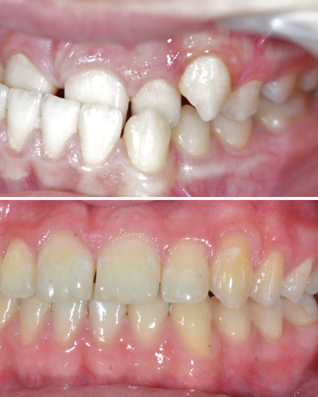
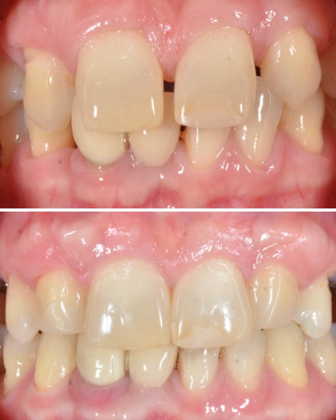
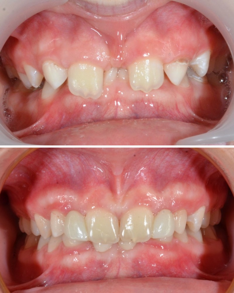
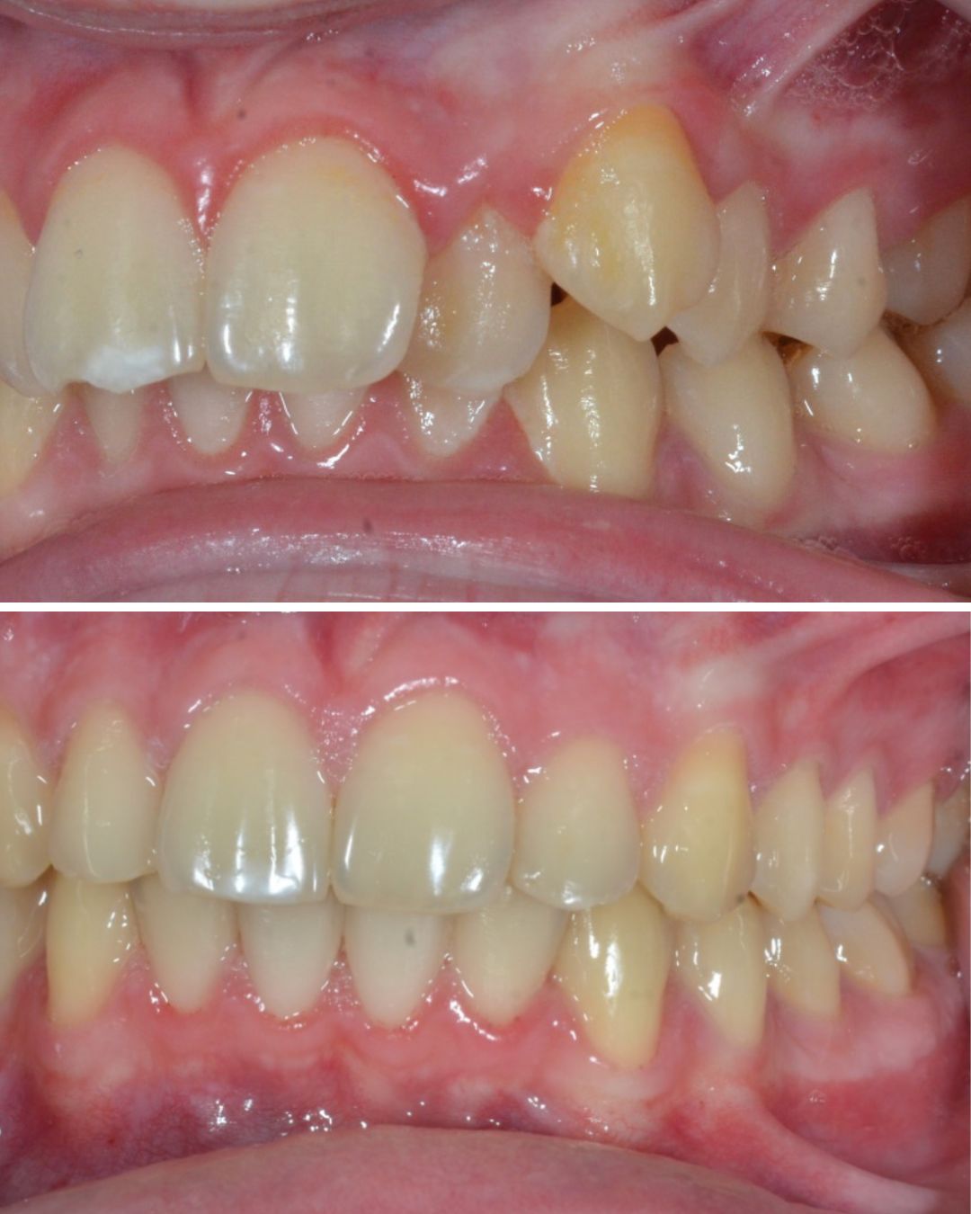
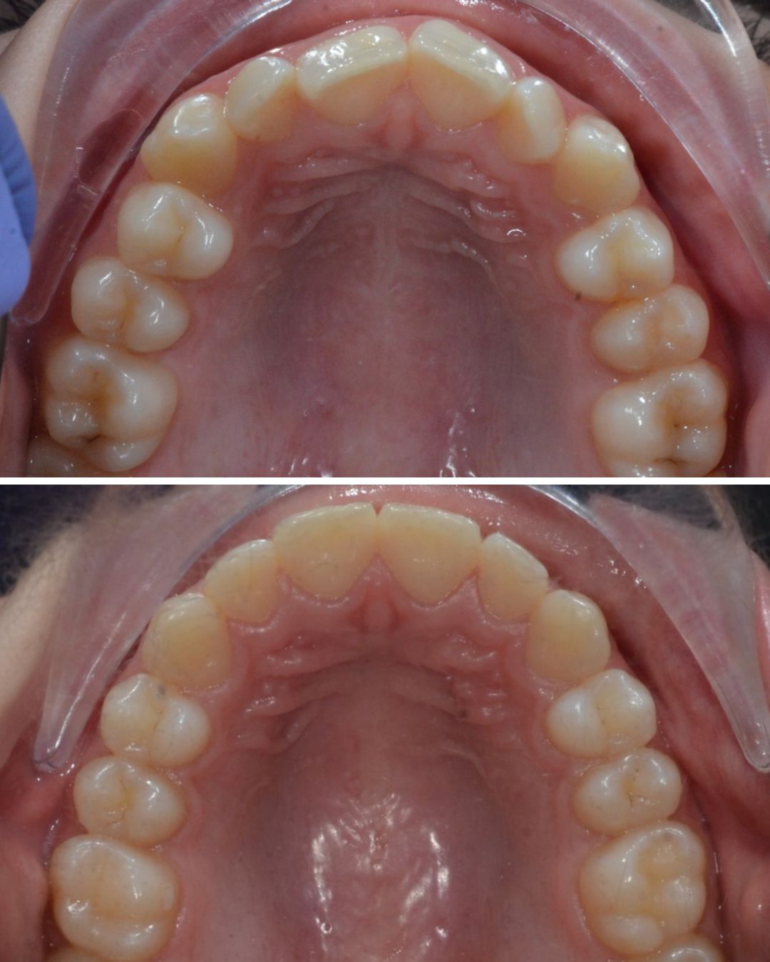
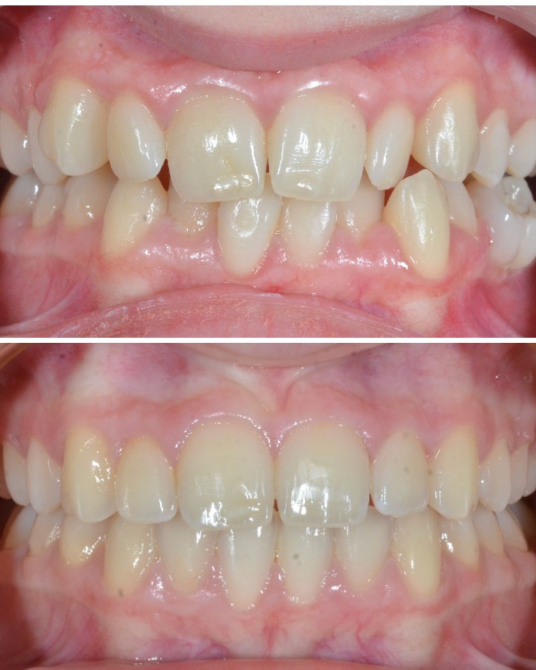
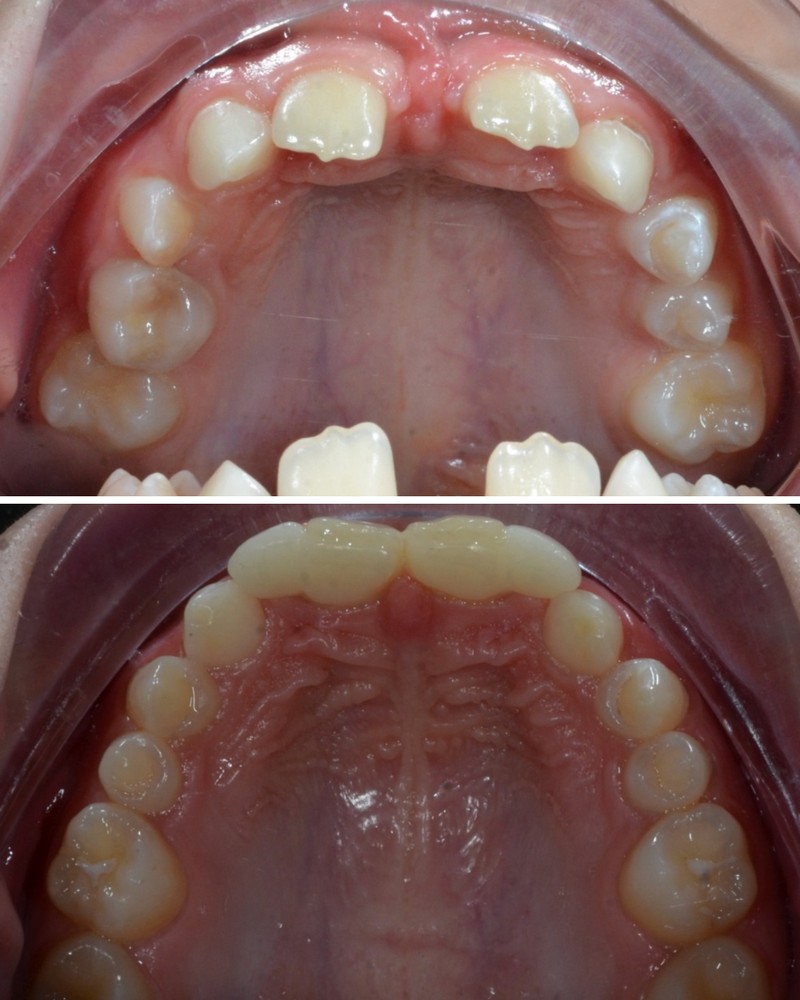
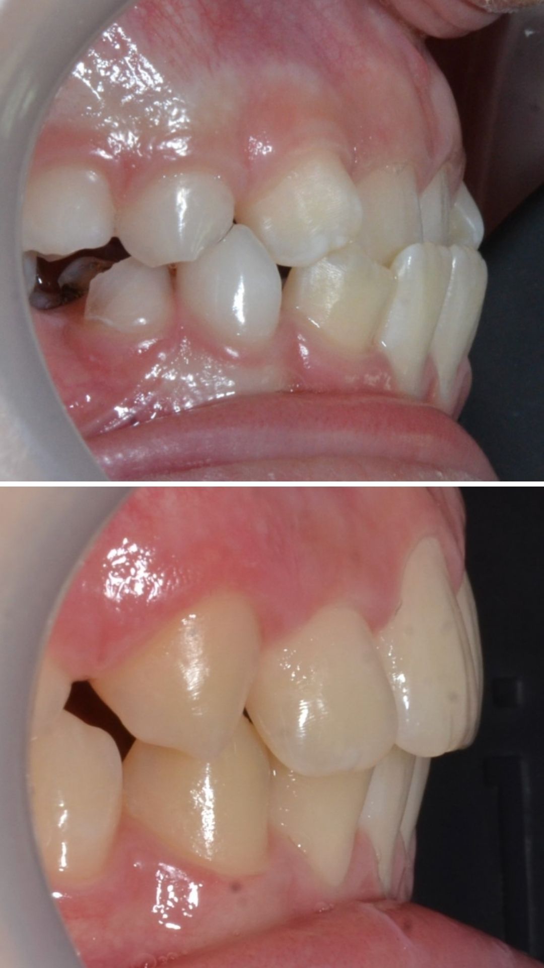
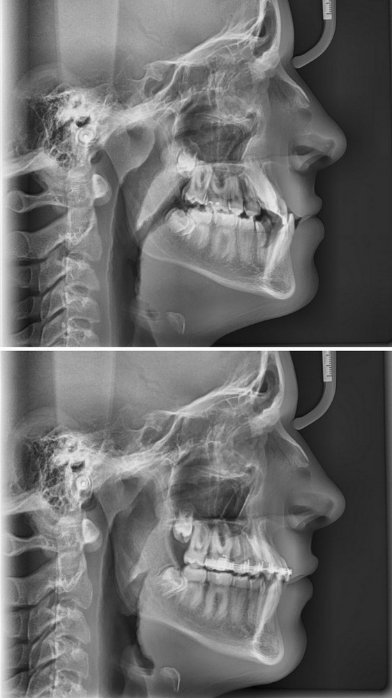
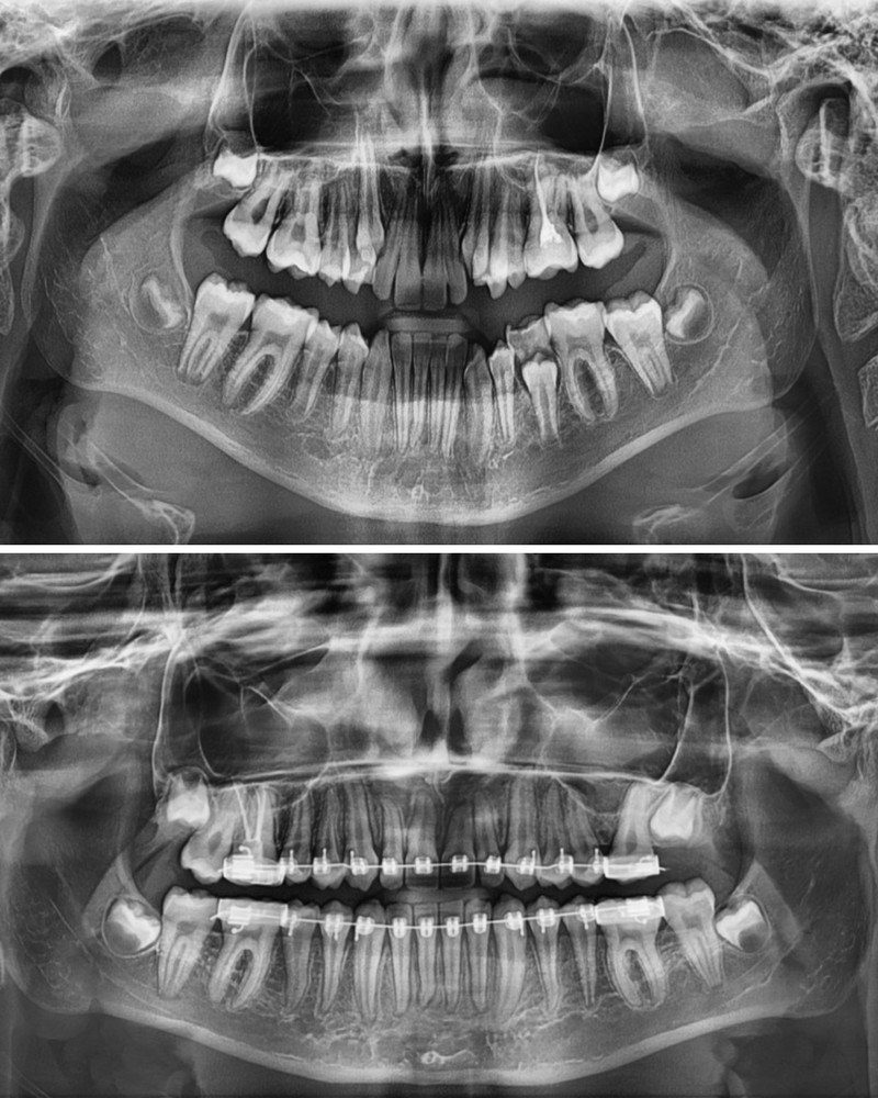
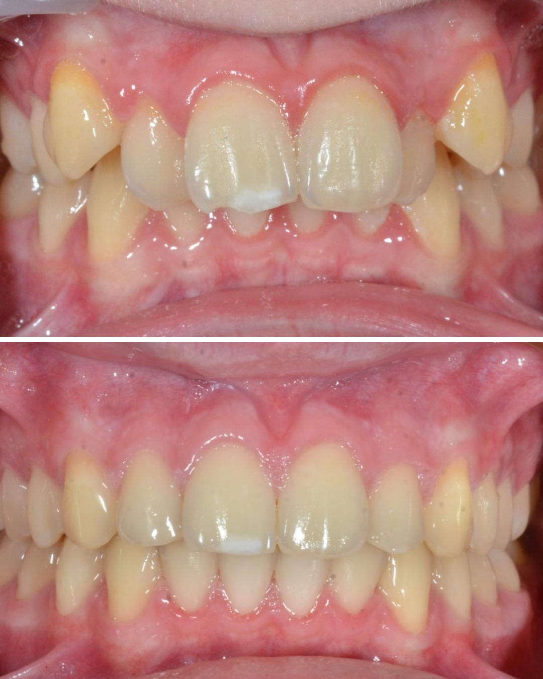
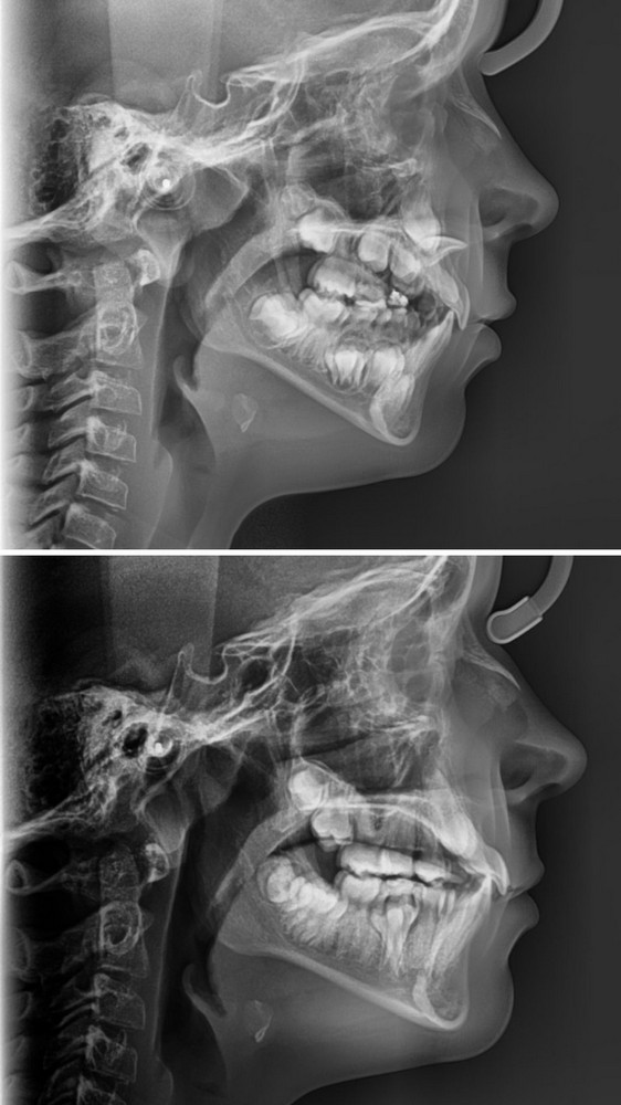
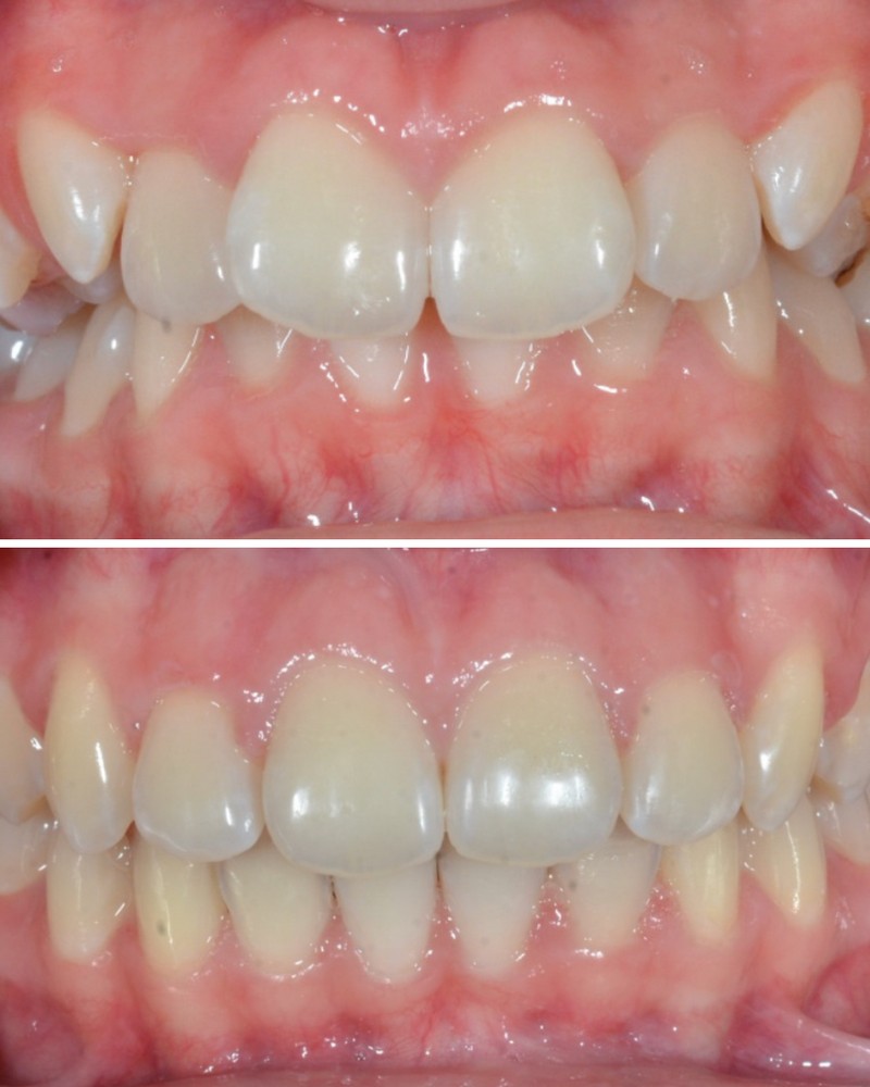
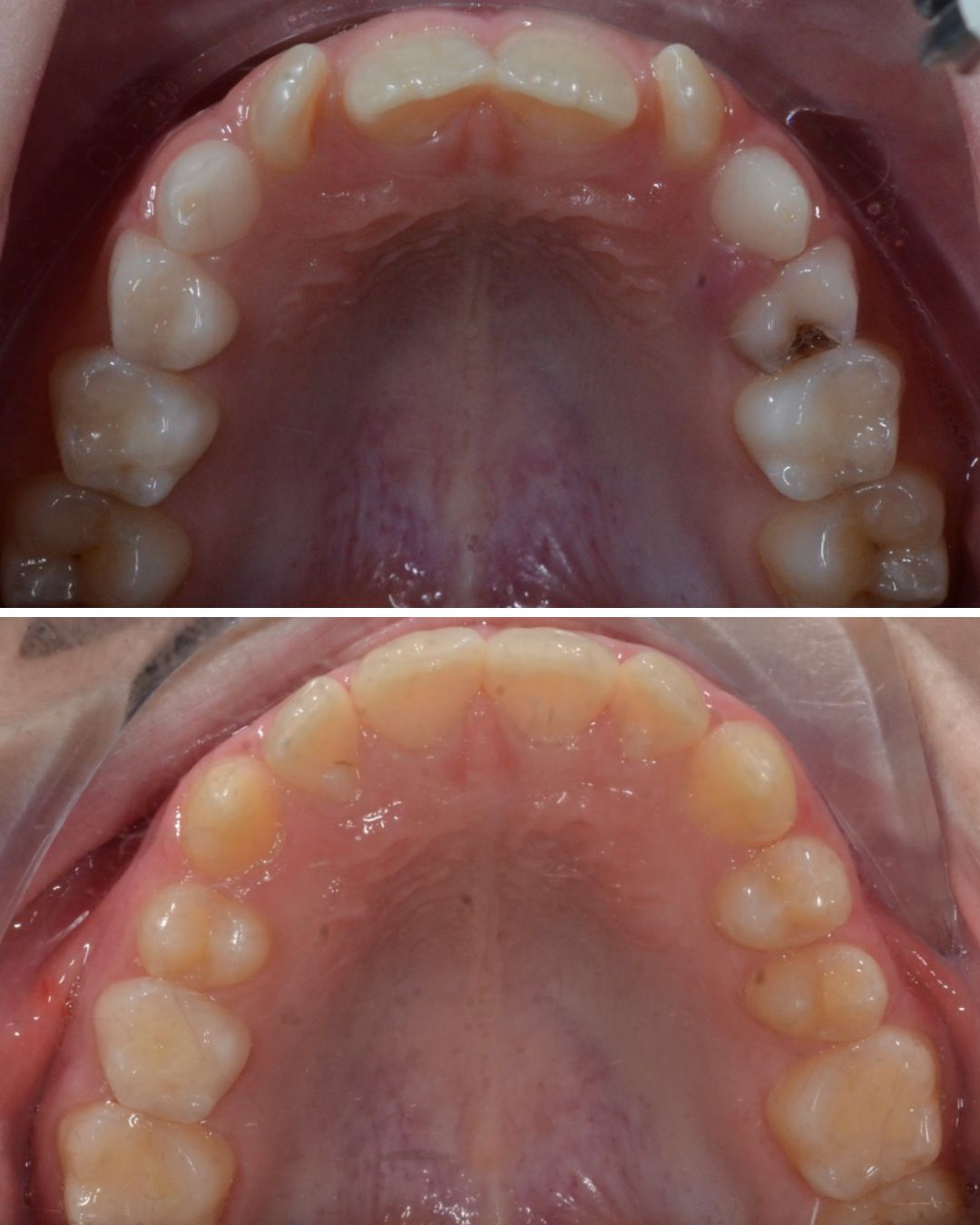
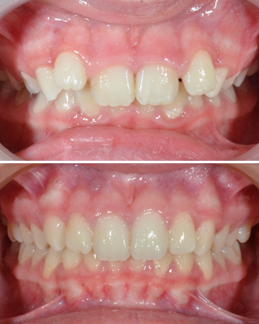
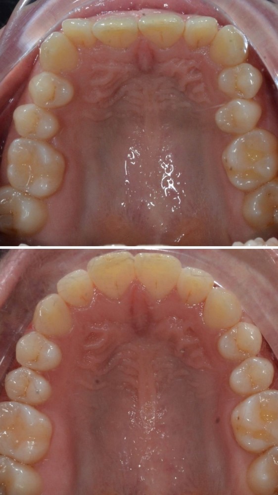
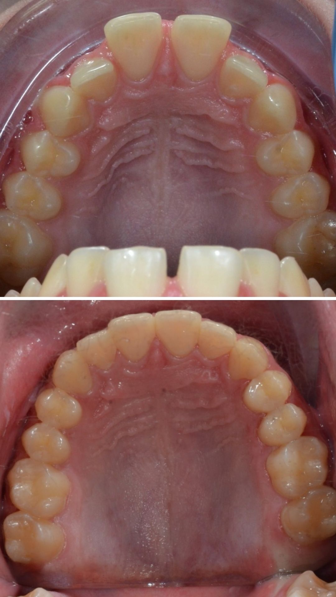
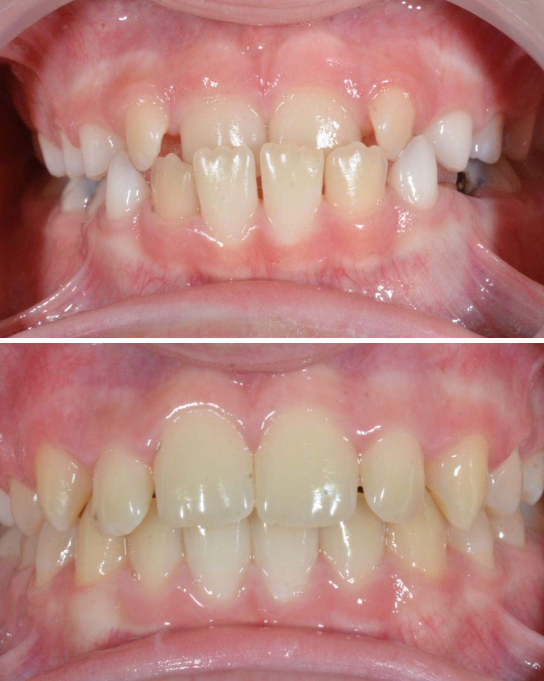
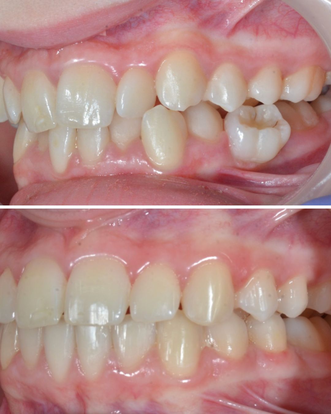
Zobacz ortodontyczne metamorfozy moich Pacjentów
Efekty są lustrem wysiłku – pokazują, ile serca włożyłeś w drogę.